重症感染症の病理
  • 播種性滲出性肺結核症
  • アスカナジー型壊死性血管炎を伴う結核性髄膜炎
  • 劇症型A群β溶連菌感染症
  • 致死的Aeromonas hydrophila感染症にみられた上肢の壊疽性病変
  • 四肢壊疽を欠く劇症型A群β溶連菌感染症
  • 劇症型肺炎球菌感染症
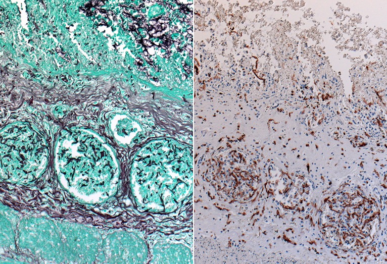
  • レジオネラ肺炎
  • 急性壊死性膵炎を呈した膵ガス壊疽
  • 髄膜炎菌性髄膜炎
  • 日本紅斑熱
  • 慢性肉芽腫症の回腸末端部病変
  • 気腫性腎盂腎炎
  • Fournier壊疽
  • 重症糖尿病に随伴した鼻脳型ムーコル症
  • エイズに合併したPneumocystis jirovecii肺炎
  • エイズの死因となったトキソプラズマ脳炎
  • 未熟児にみられた小腸ムーコル症
  • 未熟児にみられた全身性単純ヘルペスウイルス感染症
  • MRSAによる感染性心内膜炎と心筋内微小膿瘍
  • インフルエンザウイルス感染による劇症型心筋炎
  • 日本脳炎の組織像
  • インフルエンザ脳症/ライ症侯群
  • 新型(豚)インフルエンザA型(H1N1)によるびまん性肺胞傷害
  • SFTS剖検例のリンパ節病変
  • 脳性熱帯熱マラリア
  • ネグレリア性劇症型髄膜脳炎
  • アカントアメーバ脳炎
  • 内臓リーシュマニア症に対する肝生検