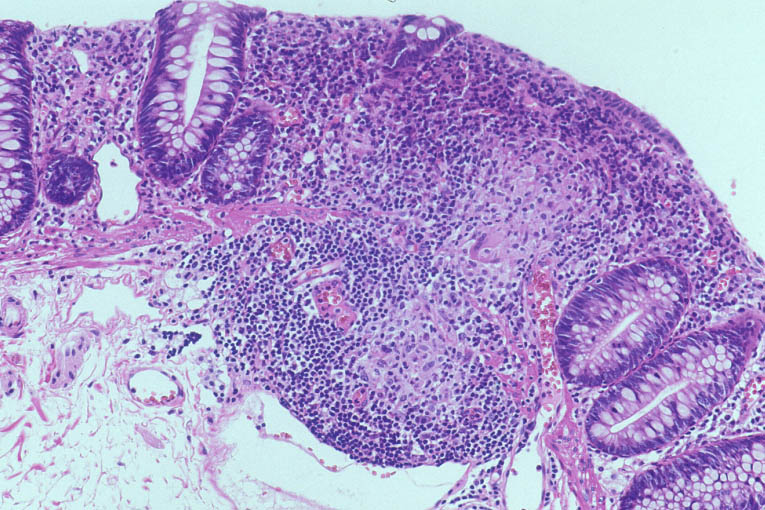
図11
慢性肉芽腫症の回腸末端部病変
左:手術切除材料の肉眼所見
右:HE染色

遺伝性好中球機能不全症である慢性肉芽腫症では、回腸末端部にクローン病類似の縦走潰瘍が形成される。組織学的に、粘膜~粘膜下層に壊死を欠く類上皮細胞肉芽腫が確認される。