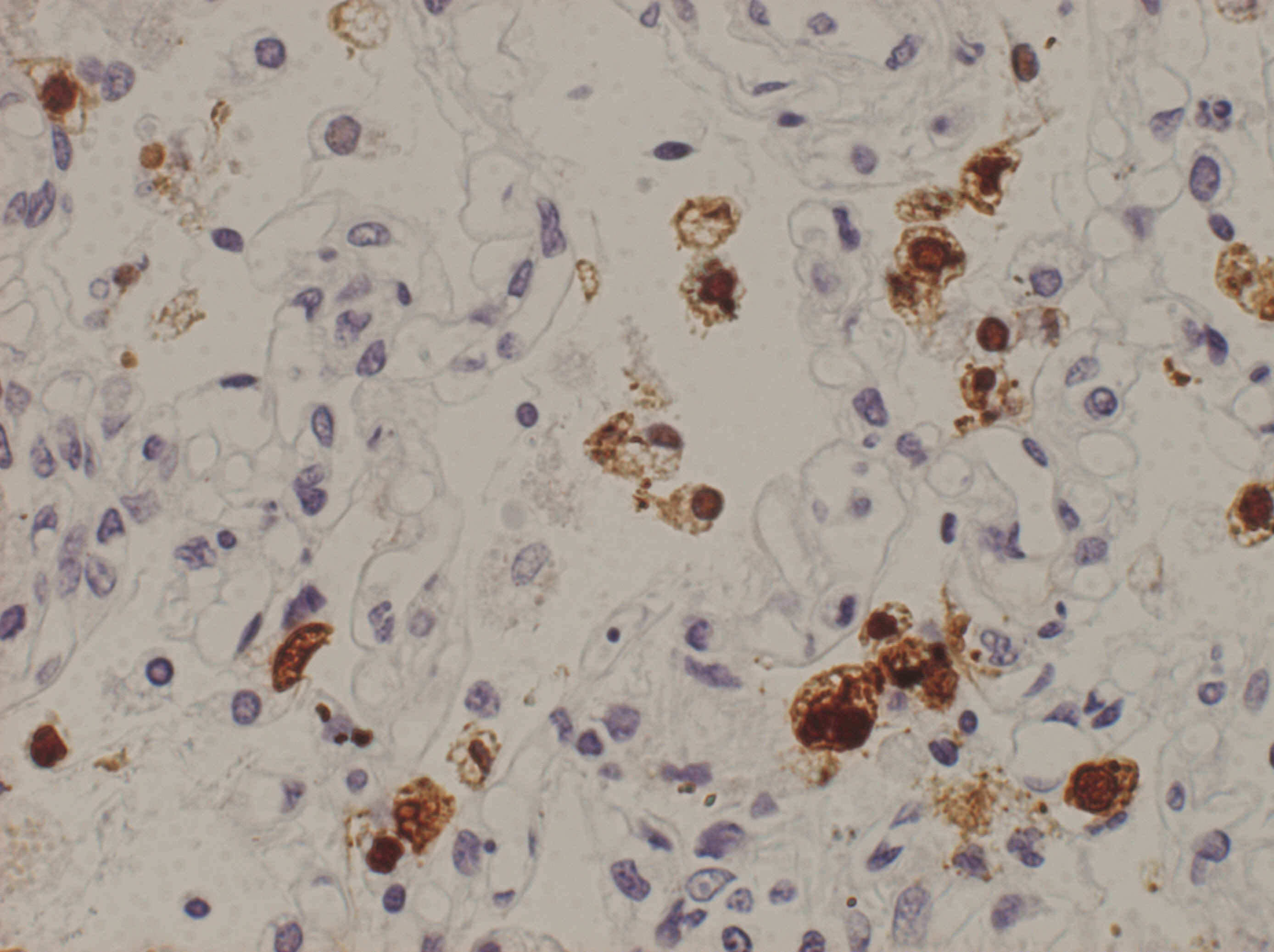
図23
新型(豚)インフルエンザA型(H1N1)によるびまん性肺胞傷害
左:HE染色
右:A型インフルエンザウイルスに対する免疫染色

肺に硝子膜形成(矢印)、II型肺胞上皮腫大、肺胞マクロファージの動員、うっ血水腫が観察される。腫大したII型肺胞上皮の細胞質ならびに核内に、A型ウイルス抗原が陽性を呈している。