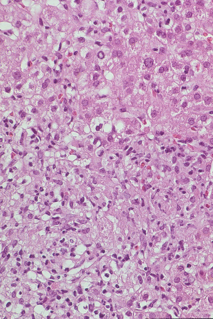
図28
内臓リーシュマニア症に対する肝生検
左:HE染色
右:希釈患者血清を用いた免疫染色
inset:高倍率像

インドで感染したKala Azarで、肝に非乾酪性類上皮細胞小肉芽腫が観察される(星印)。患者自身の血清中の抗病原体抗体によって、マクロファージに貪食された赤血球大のリーシュマニア原虫が小肉芽腫に一致して染めだされ、リーシュマニア症の診断に至った。